아하

의료상담

신경과·신경외과

와일드한멋돼지76
와일드한멋돼지76

뇌CT 스캔파일 생성순서와 관련된 질문입니다.

성별
남성
나이대
45
기저질환
-
복용중인 약
-

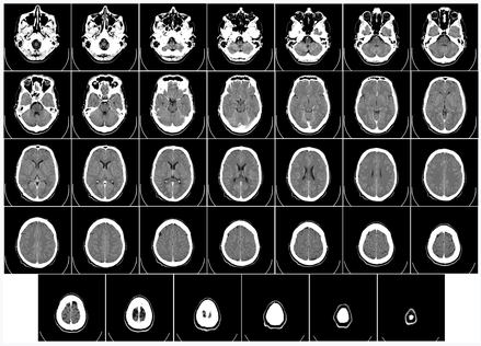
아래 그림처럼 뇌 CT의 스캔파일 생성시 그 촬영순서와 관련해서 질문드립니다.

제가 비록 방사선사나 영상의학과 전문의는 아니지만, 직관적으로 느껴지는 바로는

머리 꼭대기 부분(그림기준에서는 최하단 우측부분)의 단층촬영 스캔파일 생성 후, 점차 턱 쪽(그림기준에서는 최상단 좌측부분)으로 조금씩 이동하면, 단층촬영 스캔파일을 생성 및 저장하는 걸로 느껴지는 데 맞나요?

설마 턱부분 부터 촬영해서, 머리꼭대기에서 촬영을 종료하는 것은 아니겠죠?

  • 1번 째 사진
2개의 답변이 있어요!
  • 안녕하세요. 아하(Aha) 의료분야 답변자 외과 전문의 배병제입니다.

    보통 촬영 전 엑스레이를 한 장 찍어서 어디서부터 어디까지 CT 스캔을 할 것인지 영역을 정합니다. 그리고 말씀하신 것처럼 위에서 아래로 스캔하는 편입니다.

    저의 답변이 도움이 되셨길 바랍니다.

  • 안녕하세요. 신성현 의사입니다.

    보통은 머리끝에서부타 아래로 내려오면서 촬영이 이루어지게 됩니다 ///////////