아하
  • 토픽

  • 스파링

  • 잉크

  • 미션


의료상담

약간소문난하늘다람쥐

약간소문난하늘다람쥐

발목 인대 늘어남, 인대 파열 인지 알 수 있을까요?

성별

여성

나이대

20대

안녕하세요.

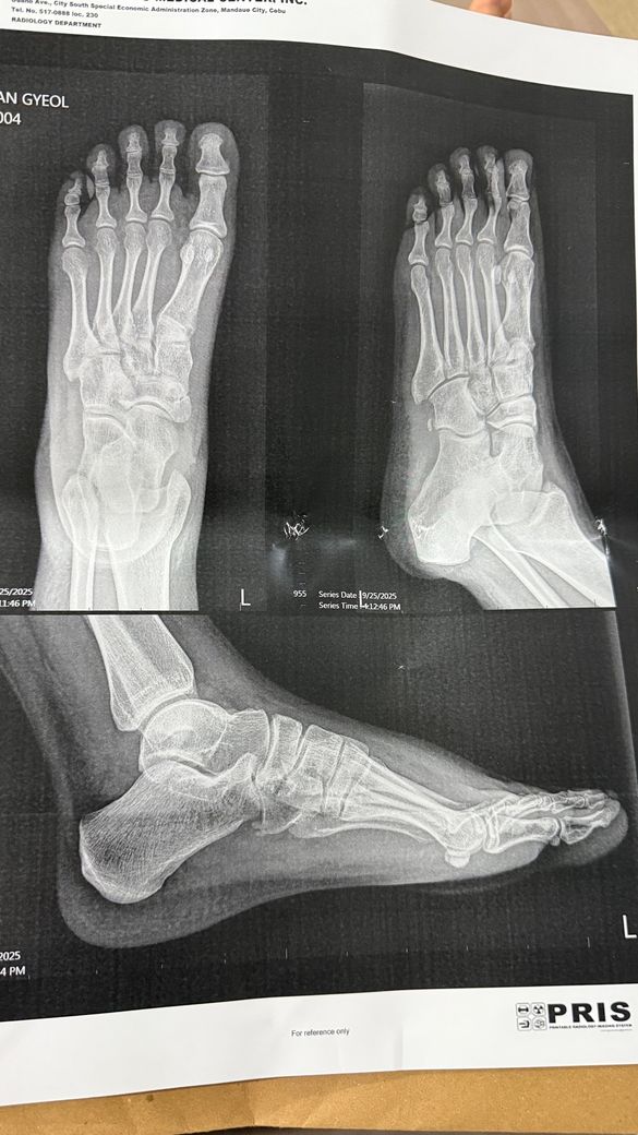
계단에서 넘어져서 발목 인대를 다쳤는데 제가 해외에 있어서 제대로 진료를 못 받고 깁스를 착용중입니다. 5일 지났는데 발목부터 발가락까지 멍이 들었고 아직 붓기가 심합니다. 해외 병원에서는 그냥 발목 인대가 늘어난거라고 하는데 상태가 너무 안좋아서 혹시 인대가 파열된건지 걱정이 됩니다.알 수 있을까요? X-ray 사진 첨부합니다.

  • 1번 째 사진
  • 2번 째 사진
  • 3번 째 사진

5개의 답변이 있어요!

  • 임동원 물리치료사

    임동원 물리치료사

    경희궁삼성마취통증의학과

    안녕하세요. 임동원 물리치료사입니다.

    엑스레이는 뼈를 확인하는 검사라 인대 손상을 직접적으로 알 수 없습니다. 때문에 MRI나 초음파를 확인하시는게 좋은데요. 멍가 붓기가 발목부터 발가락까지 심하게 번졌다면 단순 염좌보다 부분 파열 이상일 가능성이 높습니다. 감사합니다.

  • 안녕하세요. 김덕현 물리치료사입니다.

    엑스레이는 뼈의이상유무를 판단하는검사이기때문에 좀더 정확한 진단을 위해서는 MRI와같은 정밀검사가 필요할수있습니다

    가까운 정형외과나 종합병원으로 내원해보시길 바랍니다 감사합니다~

  • 안녕하세요. 김강록 물리치료사입니다.

    우선 현재로썬 엑스레이보단 초음파 검사가 인대 늘어남에 대해 정확히 확인 할 수 있으며 엑스레이만으론 판독이 제한 될 수 있습니다.

    현재와 같은 증상은 회복 과정 중 흔히 나타날 수 있는 증상이지만 너무 극심한 통증, 심한 붓기, 열감이 있다면 즉시 병원에 내원하시길 바랍니다.

    만약 심한 정도가 아니라면 냉찜질과 휴식, 다리를 거상, 압박 붕대를 해주시길 바랍니다.

    또한 당분간은 무리하게 움직이지 마시고 자극을 주는것은 피하시는게 좋고 근처 약국이 있다면 약사님께 약물 지도를 받아보시길 바랍니다.

    경과를 지켜보고 상태에 따라 꼭 병원에 내원하시길 바랍니다^^

  • 안녕하세요. 이동진 물리치료사입니다.

    타국에서 발목 손상으로 불편이 많으시겠군요.

    x-ray 검사로는 발목인대파열 정도를 정확히 확인하기는 힘듭니다. 발목인대파열 정도를 정확히 알기 위해서는 초음파나 MRI검사가 필요합니다.

    사진으로 보아서는 발목인대 손상이 심해보이며 손상정도와 관리에 따라 다를 수는 있겠지만 2-3주 정도는 깁스를 착용하셔야 할 것으로 보입니다.

    발목에 부하를 주거나 통증을 유발하는 동작이나 움직임은 하시지 마시고 쉬어 주시는 것이 빠른 회복에 도움이 되실 것입니다.

    빠른 쾌유하시길 바라며 답변이 도움이 되었으면 좋겠습니다.

  • 안녕하세요. 김현태 물리치료사입니다.

    엑스레이상에서는 연부조직인 인대의 싱태를 확인하는데 어려움이 있습니다.

    인대가 파열된 경우 주된 증상으로는 붓기와 통증, 그리고 관절의 불안정성이 나타날 수 있습니다.

    우선은 붓기와 열감과 같은 급성기 증상이 지속되는 경우 아이스팩을 지속하여주시고, 붕대나 부목 또는 보호대로 발목을 고정하는 것이 좋습니다.

    또한 발목을 높게 위치시켜 안정된 상태에서 휴식을 취하시는 것이 어느정도 증상을 완화하는데 도움이 됩니다.