아하

의료상담

산부인과

여전히살빠진비글
여전히살빠진비글

아기 심장소리가 불규칙적이래요(6주4일차)

성별
여성
나이대
30대

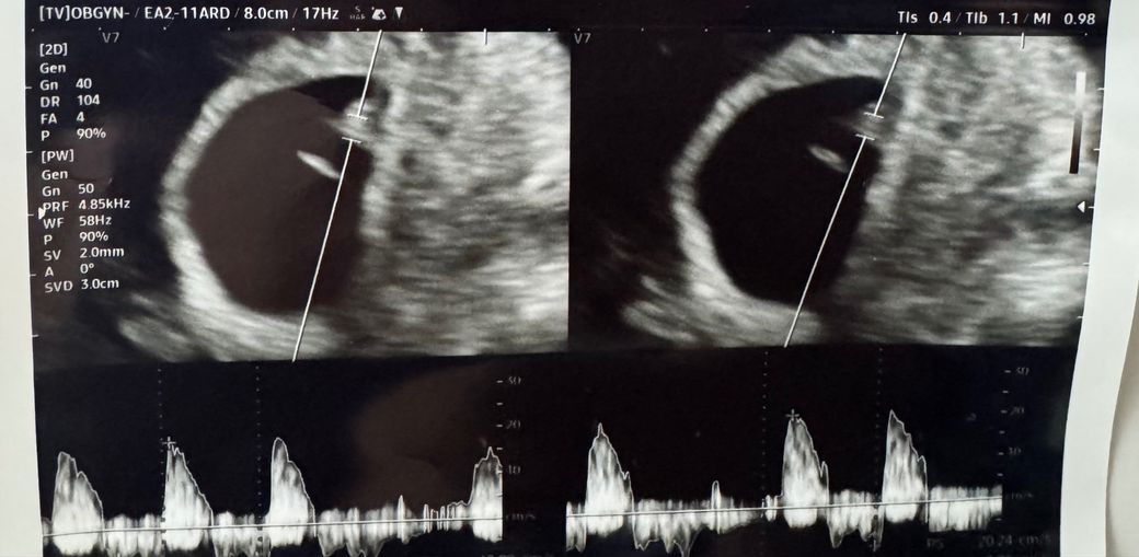
6주 4일차에 심장소리 듣고왔는데 소리가 불규칙적이라고 하네요. 아기 크기는 3mm이고 bpm은 116정도 나옵니다.

일주일 뒤에 다시 보기로 했는데 이런경우 유산가능성이 있다고 하셔서요.아기 심박이 규칙적으로 돌아올 확률이 작을까요?

  • 1번 째 사진
2개의 답변이 있어요!
  • 임신 6주 4일에 태아 길이 3mm, 심박수 약 116회/분이면 수치 자체는 해당 주수에서 정상 범위에 들어갑니다. 이 시기에는 심장이 막 형성되어 전기적 리듬이 아직 불안정할 수 있어, 초음파상 심박이 고르지 않게 들리는 경우가 적지 않습니다. 특히 심박 측정은 짧은 시간의 영상과 각도, 기기 설정에 따라 변동이 커 불규칙처럼 들릴 수 있습니다.

    중요한 점은 현 시점의 한 번의 소견만으로 예후를 단정하기 어렵다는 것입니다. 실제로 1주 내외 경과 관찰 후 심박이 규칙적으로 안정되는 경우도 흔합니다. 다만 초기 임신 자체가 유산 위험이 상대적으로 높은 시기이기 때문에, 의료진이 가능성을 설명한 것으로 이해하시면 됩니다.

    정리하면, 현재 심박수와 크기만 놓고 보면 반드시 나쁜 상황으로 보기는 어렵고, 1주 후 재검에서 심박의 지속 여부와 증가 양상, 리듬 안정성이 더 중요합니다. 그 전까지는 특별한 증상이 없다면 안정 유지와 경과 관찰이 원칙입니다.

  • 단편적인 내용만으로 구체적으로 어떻다 이야기를 하기에는 제한적이긴 합니다만, 현재 단계에서 예후를 판단하기는 어렵습니다. 다만 심박이 규칙적으로 돌아올 확률이 적다고 보기는 어렵습니다. 해당 주수에는 흔히 심장박동이 불규칙적일 수도 있습니다. 일단은 꾸준히 산전검사를 잘 받으면서 추적관찰 하시는 것이 좋겠습니다.