의료상담

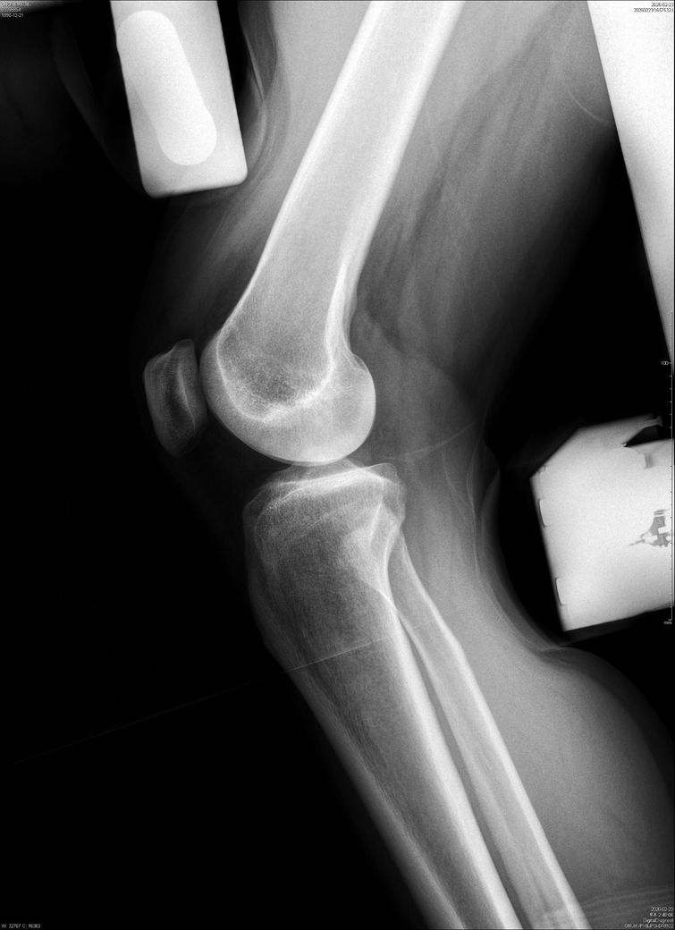
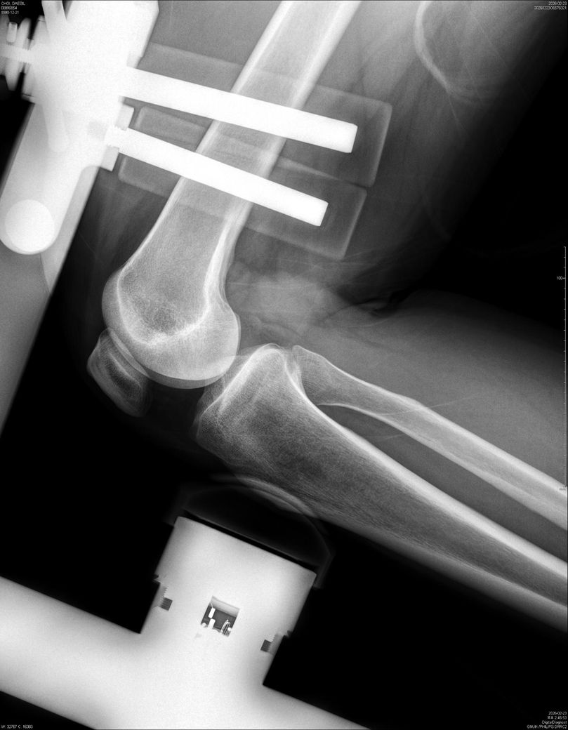
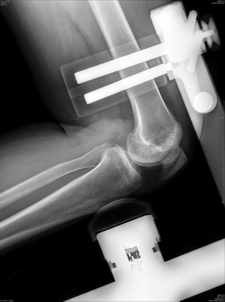
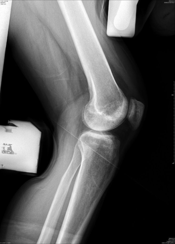
무릎 동요도를 알수있을까요?(X-RAY)사진 첨부

성별

남성

나이대

30대

반월판연골과 십자인대 수술한 부위가 6개월이 지난 현재도 무릎이 아파서

어제 촬영하였는데, 정확한 소견은 못듣고 씨디만 받아서요..

혹시 무릎 동요도를 알수있을까요?

  • 1번 째 사진
  • 2번 째 사진
  • 3번 째 사진
  • 4번 째 사진

3개의 답변이 있어요!

  • 안녕하세요. 송진희 물리치료사입니다.

    이 X-ray는 뼈 정렬·고정물 위치만 볼 수 있어, “무릎 동요도(십자인대 안정성)”는 판단할 수 없습니다.

    동요도는 Lachman, Pivot shift 같은 이학적 검사나 MRI로 확인해야 합니다.

    수술 6개월 후에도 통증이 지속되면 인대 이완, 반월상연골 재손상, 연골 손상 가능성도 있습니다.

    정형외과에서 직접 진찰 + 필요 시 MRI를 꼭 권유드립니다.

    답변이 도움 되셨길 바랍니다. 감사합니다!!

  • 안녕하세요. 김현태 물리치료사입니다.

    단순 엑스레이 사진만으로는 무릎 동요도를 측정하기 어렵습니다.

    전문 장비를 이용한 검사나 스트레스 엑스레이등을 이용한 평가를 통해 확인하시는 것을 추천드립니다.

  • 안녕하세요. 신미소 물리치료사입니다.

    어깨를 움직이는 핵심힘줄과 관절을 잡아주는 연골에 특별한 파열이나 이상이 없습니다. 어깨관절 내에 물이 조금 고여있는데 이는 보통 염증이 있을때 나타나는 현상입니다. 위팔뼈 머리 뒷부분에 작은 물혹 같은것이 보이나 대개 임상적으로 큰 위험이 없는 소견입니다. MRI상 큰 수술이 필요한 손상은 없습니다. 다만 현재 통증이 10점과 팔을 못드는 것은 비정상적입니다.

    너무참지마시고 통증이 심하다면 반드시 의료진의 조치를 받는것이 안전합니다. 답변이 도움됐길 바랍니다!