아핫뉴스실시간 인기검색어
아핫뉴스 화산 이미지
아하

의료상담

정형외과

새침한홍학72
새침한홍학72

발가락 핀이 휘어요..어떻게 해야 해요..?

성별
여성
나이대
15
기저질환
발가락 골절
복용중인 약
없음


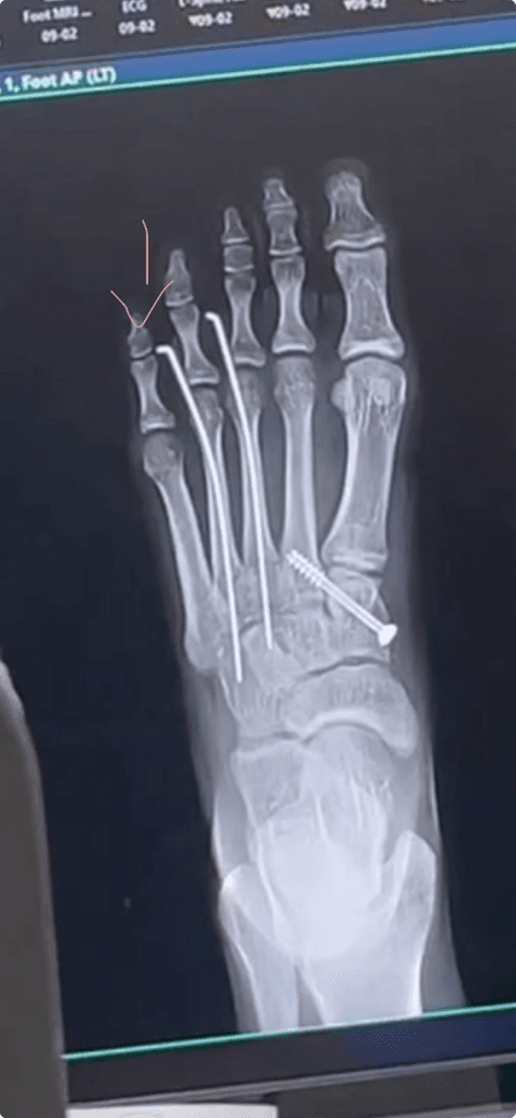
이거 지금 다리 상테 인데요 그 원레 핀이 빠같에 있고 똑바로 있는데 어제 함 빼서 봣는데 그 사진이 표시한 그 발가락 핀이 휘는거 예요 근데 그 완전이 휘어서 그 엎 발가락 까지 아파요.. ㅠㅠ 이거 휘면 재 수술 해야 대나요...??? 문제가 잇어요?

  • 1번 째 사진
55글자 더 채워주세요.
1개의 답변이 있어요!
  • 안녕하세요. 강성주 의사입니다.

    체중부하를 하거나, 앞쪽 관절에 의해 압박이 오기 때문에 옆으로 휘는 것은 정상적으로도 볼 수 있습니다.

    하지만 새끼 발가락에 상처등이 생기고 통증이 있으시다면 핀의 위치를 일부 조절 받으시는 것이 좋겠습니다.

    감사합니다.

PC용 아하 앱 설치 권유 팝업 이미지장도연이 추천하는 아하! 앱으로 편리하게 사용해 보세요.
starbucks
앱 설치하고 미션 완료하면 커피 기프티콘을 드려요!