아하
  • 토픽

  • 스파링

  • 잉크

  • 미션


의료상담

공룡에 미처버린 나?

공룡에 미처버린 나?

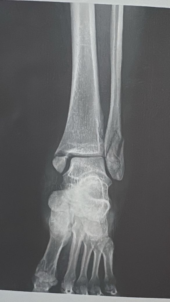
발목골절수술후 심힌 통증 및 발등 감각 둔함

성별

여성

나이대

20대

발목 골절 수술을 한지 7주가 다 되어갑니다..

발목 골절수술을 하면서 연골손상 내측인데 손상 외부 근육, 힘줄 손상이 있었다고 합니다.

지금은 보조기 2주차입니다..

요즘 집에만 거의 있고 돌아 다니지도 않는데 발목이 계속 붓고 통증도 심할때는 너무 심합니다. 통증이 있는곳은 주로 발목 관절 사이부분이 뻐근하면서 묵직하게 아프고, 외측 발목 철판 박은 부위 찌르는 통증, 내측 복숭아뼈쪽 묵직하고 찌르는 통증이 있는데 다 돌아가면서 아팠다가 안아팠다가 합니다. 아픈때는 한번 왕창 아프고 그리고 열감도 붓기도 얼음찜질을 해도 나아지지가 않습니다.. 염증이 생기거나 그런게 아닌지 싶기도 합니다..

그리고 엄지발가락쪽 타고 내려오는 발등에 수술하고 나서부터 계속 감각이 둔합니다.. 괜찮아지겠죠..?

  • 1번 째 사진
  • 2번 째 사진

5개의 답변이 있어요!

  • 김강록 물리치료사

    김강록 물리치료사

    정형외과

    안녕하세요. 김강록 물리치료사입니다.

    지금과 같은 상황에선 많이 걱정되실겁니다.

    우선 수술 병원에 내원하셔서 현재 상황에 대한 내용 전달 후 적절한 처치를 받으시길 바랍니다.

    지금과 같은 증상은 수술 후 일시적으로 나타날 수 있지만 수술과정 중 신경이 미세하게 건드려지는 경우도 있기에 재검사를 해보시길 추천드리며 꾸준히 냉찜질을 해주면서 경과를 지켜보시길 바랍니다^^

  • 안녕하세요. 이동진 물리치료사입니다.

    발목 손상으로 인하여 불편이 있으시군요.

    골절 수술로 인한 염증과 붓기로 인하여 신경을 압박하거나 장기간 움직임이 없다보니 혈액순환을 저해하며 손상 주변에 통증이 유발될 수도 있으며 시간이 지나면서 서서히 회복해 나갈 실 것입니다.

    빠른 쾌유하시길 바라며 답변이 도움이 되었으면 좋겠습니다.

  • 안녕하세요. 송진희 물리치료사입니다.

    수술 7주차 + 보조기 단계에서는 "부종.열감.통증이 간헐적 으로 심해졌다가 가라앉는 것"은 비교적 흔합니다.

    특히 "관절면 연골손상 + 금속 고정물"이 있으면 관절 깊은 묵직한 통증과 철판 부위 찌르는 통증이 번갈아

    나타날 수 있습니다.

    다만 "휴식.거상.냉찜질에도 전혀 안 줄고, 점점 악화되거나 밤에 깨는 통증.발적.고열"이 동반되면 감염/심한 염증 감별로 진료가 필요합니다.

    엄지발가락 쪽 감각 둔화은 "수술 중 신경 자극/부종" 때문일 가능성이 높고, 보통 "수개월에 걸쳐 서서히 회복" 되지만

    지속 악화 시 확인 권장됩니다.

    빠른 쾌유 바랍니다. 감사합니다!!

  • 안녕하세요. 김현태 물리치료사입니다.

    1. 수술 이후 지속되는 통증은 수술 부위의 자극이 가해지거나 염증반응이 지속적인 경우 나타날 수 있지만, 말씀하신 것처럼 장기적으로 나타나는 경우에는 별도의 진료가 필요할 수 있습니다.

    2. 감각의 둔화는 수술 부위 주변 신경이 일시적으로 손상이 되거나 압박을 받는 경우 나타날 수 있으며, 대부분의 경우 시간이 경과하며 회복을 하게 됩니다.

    우선은 현재 증상에 관현된 진료와 검사를 받아보시고 자세한 소견을 들어보시는 것을 추천드립니다.

  • 안녕하세요. 물리치료사입니다.

    발목골절 수술 수 일반적으로 절뚝거림과 감각이 떨어질수 있습니다 너무 급하게 생각하지마시고 안정을 취해주세요