의료상담
치과치료후 마취주사 통증 헐음 어떻게하나요?
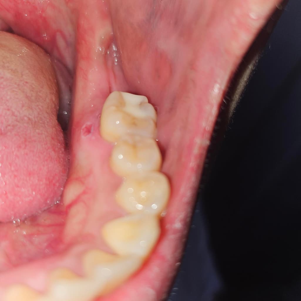
다음주월요일날씌우기로했는데 이거괜찮은건가요
아니면치과방문함해봐야하는건가요?
몽우리아직만져져요 턱쪽에 통증도어제보단덜하지만있습니다.
이빨끼리 부딪히면 진동감있어요
55글자 더 채워주세요.
4개의 답변이 있어요!
안녕하세요. 안상우 치과의사입니다.
치과 치료를 받게 되면 마취를 한 부분에 상처가 생기거나 치료를 하는 과정에 상처가 생길 수 있습니다. 이런 상처는 대부분 시간이 지나면서 줄어들게 됩니다. 상처가 난 부위를 자극하지 않는 것이 좋습니다.
안녕하세요. 김지훈 치과의사입니다.
마취 주사로 인해 잇몸에 상처가 난 것으로 보이며 보통은 시간이 지나면 저절로 회복됩니다.
안녕하세요. 김철진 치과의사입니다.
마취로 인해서 생긴 상처는 시간이 지나면 괜찮아 지니 크게 걱정은 안하셔도 될것같습니다.
안녕하세요. 최석민 치과의사입니다.
치과용 마취 주사로 인해 일시적으로 얼얼함이나 멍멍함 등은 있을 수 있습니다.
다만, 통증이 있는 것은 별개이니 예약과 관계없이 치과가서 체크해보세요

