의료상담

손목에 주사를 맞아야 하는데많이 아픈가요?

성별

여성

나이대

20대

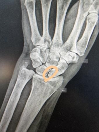
제가 사진에서 동그라미 친 부분이 많이 벌어져 있다? 하더라고요 그걸 치료하려면 주사치료를 해야 하는데 이 병은 재발이 심해서 한 번이 아니고 여러 번 맞아야 한다 그래서 더 걱정이 돼요 혹시 주사가 많이 아플까요? 병명은 그냥 인대 늘어남 일까요?

  • 1번 째 사진

6개의 답변이 있어요!

  • 안녕하세요. 김덕현 물리치료사입니다.

    사람에따라서 주사치료에서 나타나는 통증은 달라질수있습니다 하지만 살이많이없는 손목이나 발목같은관절같은경우 다른부분에비해서 더 통증이심하게느껴질수있는데요

    자세한건 병원에서 전문의와 상담을받아보시길 바랍니다 감사합니다~

  • 안녕하세요. 김의균 물리치료사입니다.

    손목에 주사 같은 경우 아프긴 하지만 대부분 참을 수 있을 정도이며 손목 같은 경우 신경이 많고 피부가 얇은 부분이라 통증이 다른 부위에 비해 조금 더 심할 수 있습니다.

    특히 염증이 심하거나 힘줄 주변에 직접 주사를 하거나 긴장을 많이 할 경우 통증이 더 심하게 느껴질 수 있으며 통증을 줄이기 위해선느 손에 힘을 빼고 숨을 천천히 내쉬면서 긴장하지 마시고 주사를 맞아 보시면 좋을 것 같습니다.

    빠른 쾌유를 기원합니다.

    감사합니다 수고하세요~

  • 안녕하세요. 신미소 물리치료사입니다.

    사진상 표시된 부위는 손목 인대나 관절간격 문제로 보이는 경우가 많습니다. 말씀처럼 단순 인대 늘어남부터 손목인대 손상까지 다양하게 진단될수 있습니다. 주사치료는 보통 염증을 줄이거나 통증을 완화하기 위해 시행합니다. 주사 자체는 따끔한 정도의 통증은 있지만 참기 힘들 정도는 아닌 경우가 대부분입니다. 특히 국소마취를 같이 하거나 짧은 시간에 끝나기 때문에 부담이 크진 않습니다. 다만 손목은 신경이 예민한 부위라 맞을 때 약간 찌릿한 느낌이 있을수 있습니다. 여러번 맞는 이뉴는 인대회보과 통증조절을 단계적으로 하기 위함입니다. 너무 걱정하기보다 치료과정이라고 생각하시고 진행하셔도 괜찮습니다!

  • 안녕하세요. 김현태 물리치료사입니다.

    1. 엄청난 고통이 발생하는 정도는 아니고, 주사바늘이 들어갈 때 따끔한정도, 약물이 주입될 때는 뻐근한 정도 통증이 발생하지만 보통 참울 수 있는 정도입니다.

    2. 정확한 진단명은 서류 발급 시 확인을 하시는 것이 좋겠고, 인대 염좌와 같은 진단명이 기입될 수 있을 것으로 생각됩니다.

  • 안녕하세요. 송진희 물리치료사입니다.

    동그라미 부위가 벌어져 보인다면 단순 인대 늘어남보다 "손목 인대 손상(불안정성)" 가능성이 있습니다.

    주사치료는 보통 염증 완화나 회복을 돕기 위한 것으로, "따끔한 정도의 통증"은 있지만 오래가진 않습니다.

    다만 반복 주사가 필요하다는 건 "완전 회복 전까지 시간이 걸리는 상태"라는 의미일 수 있어요.

    통증 지속.힘 빠짐 있으면 MRI 등 정밀검사로 정확한 진단을 받는 것이 중요합니다.

    빠른 쾌유을 바랍니다!!

  • 사진에서 표시하신 부위는 해부학적으로 주상골–월상골 사이, 즉 주상월상 인대 손상(Scapholunate ligament injury) 가능성이 있는 위치입니다. 단순 “인대 늘어남”보다는 부분 파열 또는 불안정성까지 포함된 개념일 수 있습니다. 이 경우 X-ray에서 간격이 벌어져 보일 수 있습니다.

    통증과 관련해서 말씀드리면, 손목 관절 내 주사는 일반적으로 “참을 수 있는 수준의 통증”으로 평가됩니다. 바늘이 들어갈 때 따끔한 통증이 있고, 약물이 들어갈 때 약간의 압박감이나 뻐근함이 동반됩니다. 다만 손목은 구조가 좁고 신경 분포가 밀집되어 있어 개인에 따라 통증이 다소 예민하게 느껴질 수 있습니다. 대부분의 경우 시술 전 국소마취를 함께 시행하기 때문에 실제 주사 통증은 상당히 완화됩니다. 시술 시간은 보통 1분에서 2분 내외로 짧습니다.

    주사 치료의 목적은 염증 감소와 통증 조절입니다. 대표적으로 스테로이드 주사를 사용합니다. 다만 주상월상 인대 손상에서 주사는 구조적 회복을 만드는 치료는 아니며, 증상 완화 목적이기 때문에 재발이나 반복 시술이 필요한 경우가 있습니다. 반복 주사는 조직 약화를 유발할 가능성이 있어 일반적으로 횟수 제한을 두고 시행합니다.

    임상적으로 중요한 점은 다음입니다. 단순 염좌 수준이면 보존적 치료(보조기, 휴식, 약물)로 호전되지만, 인대 불안정성이 명확하면 추후 관절 퇴행성 변화로 진행할 수 있어 추가 평가가 필요합니다. 필요 시 자기공명영상(MRI) 또는 관절경 평가를 통해 손상 정도를 확인합니다. 불안정성이 지속되면 수술적 치료를 고려하기도 합니다.

    정리하면, 주사 자체의 통증은 대체로 견딜 수 있는 수준이며 마취로 조절 가능합니다. 다만 현재 상태가 단순 염좌인지, 인대 부분 파열 이상인지에 따라 치료 전략이 달라지므로 정확한 평가가 중요합니다.