아하
  • 토픽

  • 스파링

  • 잉크

  • 미션


의료상담

꽤달달한긴팔원숭이

꽤달달한긴팔원숭이

오른쪽 발목 통증으로 인한 질문입니다

성별

여성

나이대

20대

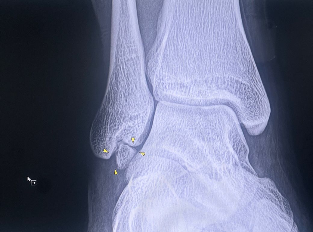
며칠 전 발목을 많이 접질러서 통증으로 인해 정형외과에 갔는데 표시되어 있는 뼈가 원래 있는 뼈가 아닌데 분할되어서 좀 크게 자리가 잡혀있고 저 뼈때문에 작은 충격에도 인대를 자극해 통증을 심하게 느끼는 거라고 하더라고요.. 그래서 딱히 개선을 할 방법이 없다고 말씀하셨는데 맞게 진료를 받은 건가 해서 여쭈어봅니다

  • 1번 째 사진

5개의 답변이 있어요!

  • 신미소 물리치료사

    신미소 물리치료사

    물리치료사

    안녕하세요. 신미소 물리치료사입니다.

    사진과 설명상 부골(분리된 작은 뼈) 또는 붙지 않고 남은 작은 골조각 가능성이 높습니다. 이 뼈가 인대 근처를 계속 자극해서, 조금만 접질리거나 충격이 있어도 통증이 심해지는 상태로 보입니다. 위험한 종양이나 큰 병은 아니고, 흔히 있는 구조 문제입니다. 보통은 약·물리치료·보호대·깔창 같은 보존치료로 조절합니다. 다만 통증이 반복되거나 오래 지속되면 MRI로 인대 손상과 염증 여부를 확인해보는 게 좋고, 그래도 계속 힘들면 드물게 부골 제거 수술을 고려합니다. 크게 위험한 상태는 아니지만 통증이 계속되면 정밀검사 후 치료방향을 잡는게 가장 안전합니다. 빠른쾌유를 빕니다! 

  • 안녕하세요. 김강록 물리치료사입니다.

    현재로썬 사진만으론 판단을 하긴 어렵지만 부주상골 증후군이 의심갑니다.

    아무래도 가짜뼈가 주변 힘줄, 인대에 자극을 주면서 통증이 유발 될 수 있어 주의가 필요합니다.

    치료법으론 물리치료, 체외충격파, 약물치료, 주사치료 등이 있지만 결국 가짜 뼈를 없애는것이 아닌 통증을 없애는 보조적인 치료로 볼 수 있습니다.

    만약 가짜 뼈로 인한 신경 손상, 극심한 통증이 유발된다면 수술도 고려해보시길 바랍니다^^

  • 안녕하세요. 송진희 물리치료사입니다.

    사진 위치상 "부주골(추가뼈) 또는 과거 인대 손상 후 생긴 골편" 가능성이 높아 보여요.

    이런 뼈는 원래 타고나거나 예전 접질림 뒤에 남아 "인대 자극.통증 원인"이 될 수 있습니다.

    보존치료(보호대, 주사, 재활)로 버티는 경우가 많고, "증상 지속 시엔 수술적 제거"도 선택지예요.

    "방법이 없다"기보단 "치료 선택지가 제한적"하다는 의미라, 족부 전문의 2차 의견 받아보셔도 됩니다.

    너무 걱정 마시고 병원에 가셔서 전문의와 상담 꼭 받으시기를 바랍니다. 감사합니다~^^

  • 안녕하세요. 김경태 의사입니다.

    네 이전 진료본 병원에서 설명해주신대로 비슷한 의견입니다. 불안정성이 심하고 지속적으로 문제가된다면 수술적 치료도 고민해볼수있습니다.

  • 안녕하세요. 김현태 물리치료사입니다.

    네, 진단받으신 소견상에 크게 문제는 없는 것으로 생각되는데요, 발목관절을 형성하는 세개의 뼈 이외에 표시된 부분에 부골 혹은 이분 골절선으로 추정되는 구조가 있어 일반적인 발목관절과 달리 해당 변화가 발목 주변의인대나 연부조직을 자극하여 통증을 느끼게 되는 것으로 생각됩니다.

    진료시 들으신 소견에 큰 이상이나 문제점이 없는 것으로 보이나, 우려가 되거나 타당하게 느껴지지 않으신다면 2차의료기관 이상의 병원에서 다시 진료와 검사를 받아보시는 것도 좋겠습니다.