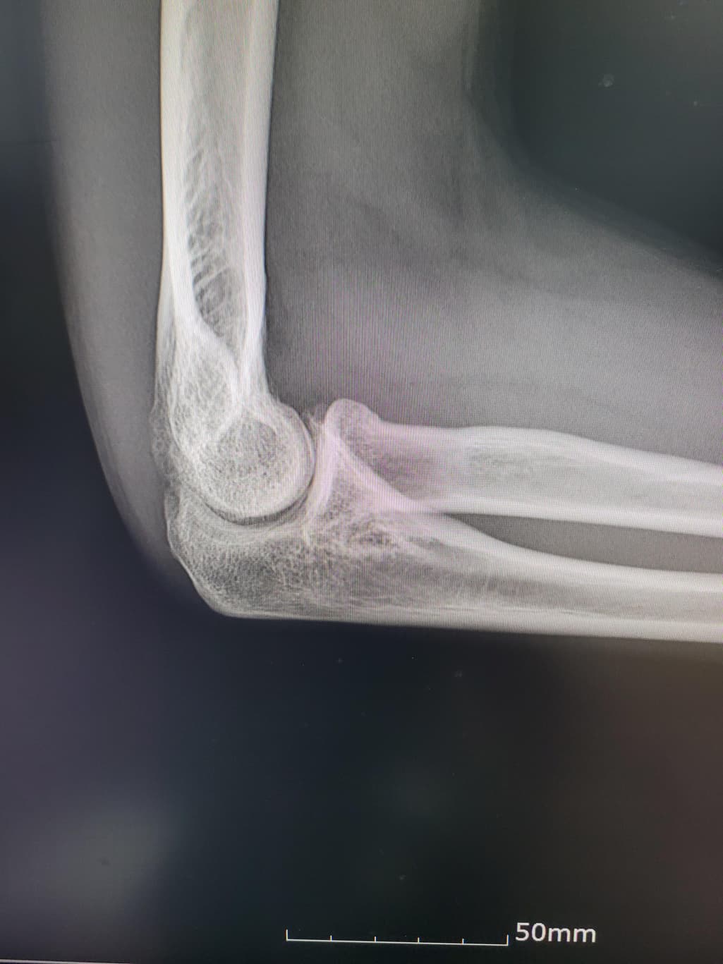
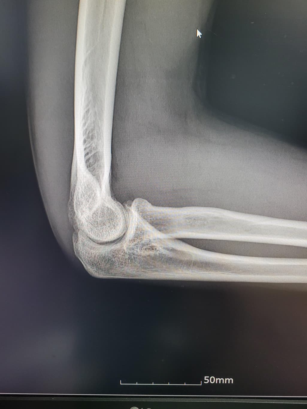
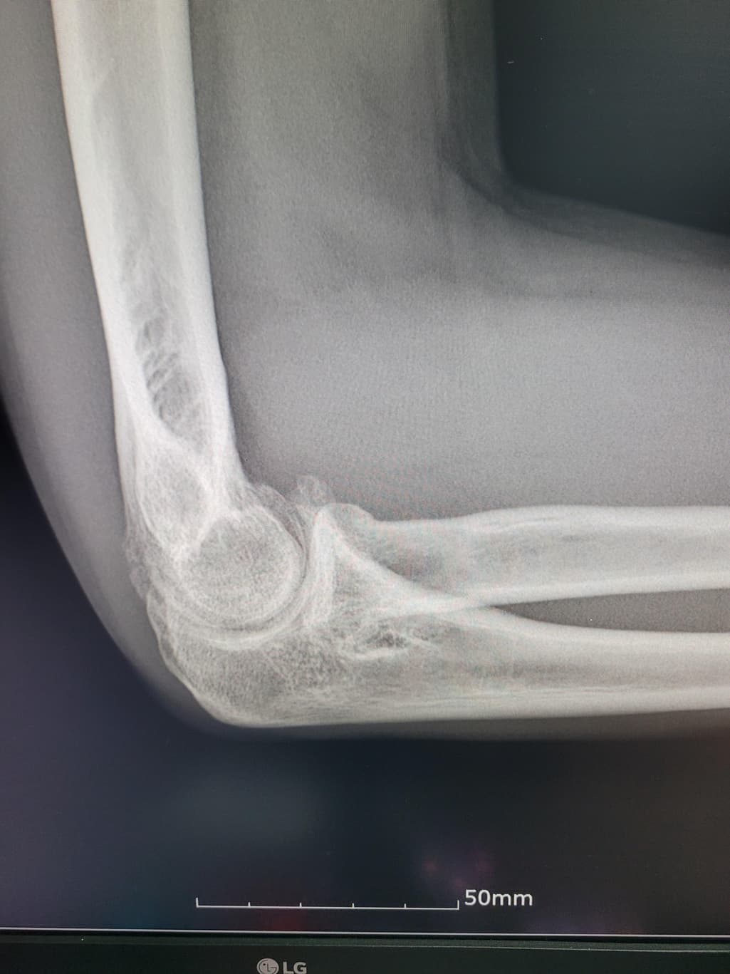
이거 활액막연골종인지좀 봐주세요(x-ray 첨부)
팔이 아파서 여러병원 찾아다니느라 엑스레이 사진도 복사해왔는데 1,2년 전에 비해서 팔꿈치에 동그란 게 생겼더라구여 이게 뭔지 모르겠습니다
과거에 활액막연골종으로 같은 부위를 수술받은 적이 있습니다
첫 번째 두 번째 사진이 가장 최근입니다
안녕하세요. 송진영 물리치료사입니다.
활액막연골종은 일반적으로 엑스레이에서 뼈의 경계가 부풀어 오르거나 변형된 모습이 나타날 수 있습니다.
엑스레이에서 종양은 종종 비정상적인 경계와 불규칙한 모양을 보입니다 뼈의 구조와 혼합된 모습 일 수 있습니다.
정확한 진단을 위해 엑스레이 외에도 MRI, CT촬영과 같은 추가 검사가 필요 할 수 있습니다 전문의와 상담하는 것이 좋을 것 같습니다.
긴 글 읽어주셔서 감사합니다.
1명 평가안녕하세요. 김지훈 물리치료사입니다.
X-ray는 뼈의 병변을 주로 확인하기 위해 촬영합니다.
질문자님께서 질문주신 활액막연골종증(윤활막연골종) 인지 확인이 필요하시다면 MRI 촬영 후 의사선생님께 여쭈어 보시는 것이 낫겠습니다.
활액막연골종증은 수술 후 재발률이 낮다고 알려져 있으니 이전에 수술하셨던 병원의 주치의 선생님께 진료 예약을 잡으시고 여쭈어보시는 것이 좋을 것 같습니다.
1명 평가안녕하세요. 김현태 물리치료사입니다.
구조상 큰 변화는 없어 보입니다. 그러나, 정확한 소견은 전문의의 판독결과를 들어보시는 것이 가장정확하고, 연부조직의 염증같은 경우에는 엑스레이 보다는 초음파나 MRI와 같은 검사방법이 정확한 검사를 시행할 수 있겠습니다. 주치의와 상의 후에 판독결과나 추가적인 검사등에 대한 상담을 받아보시고, 필요시에는 검사를 받으시는 것이 좋겠습니다.
1명 평가

