아하
  • 토픽

  • 스파링

  • 잉크

  • 미션


의료상담

제일생동감있는비숑

제일생동감있는비숑

목형태가 안 좋은데, 통증이 없어도 치료가 필요할까요?

성별

남성

나이대

50대

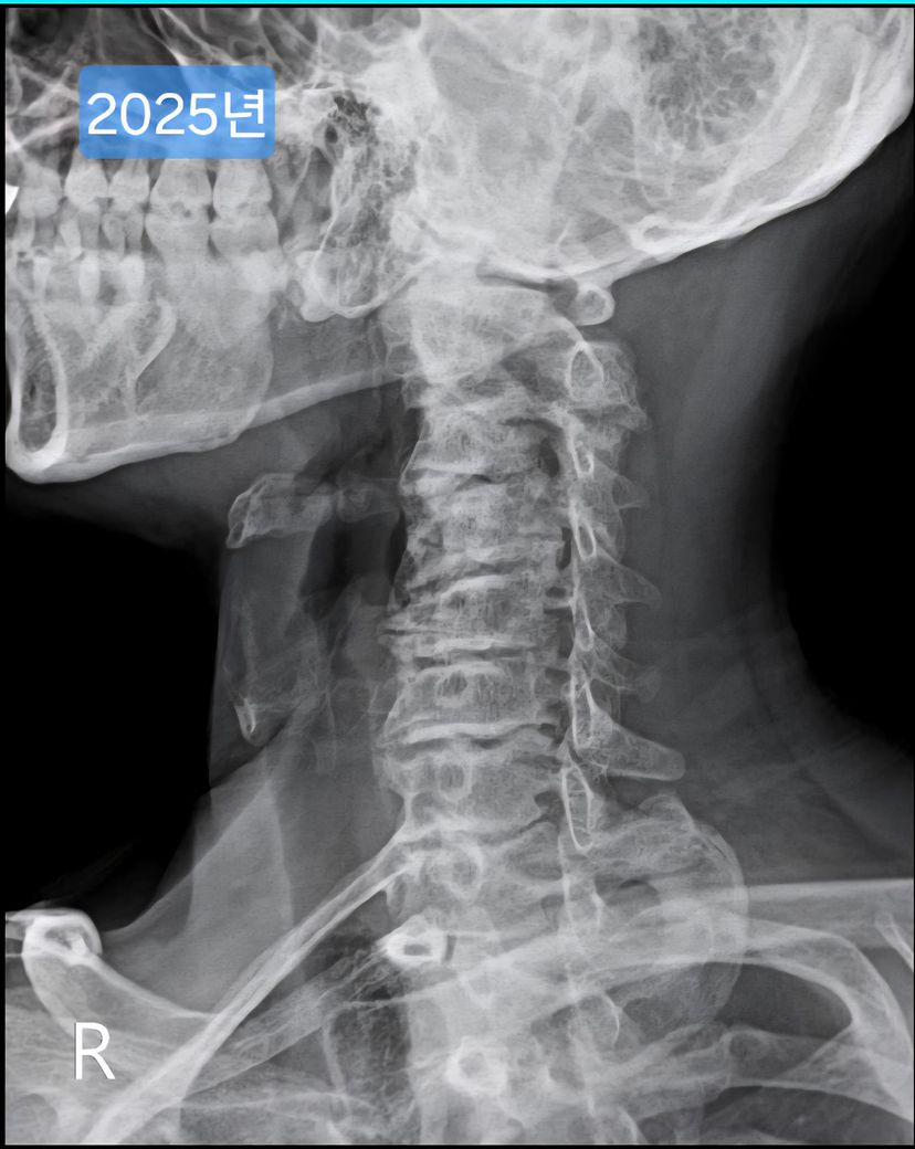
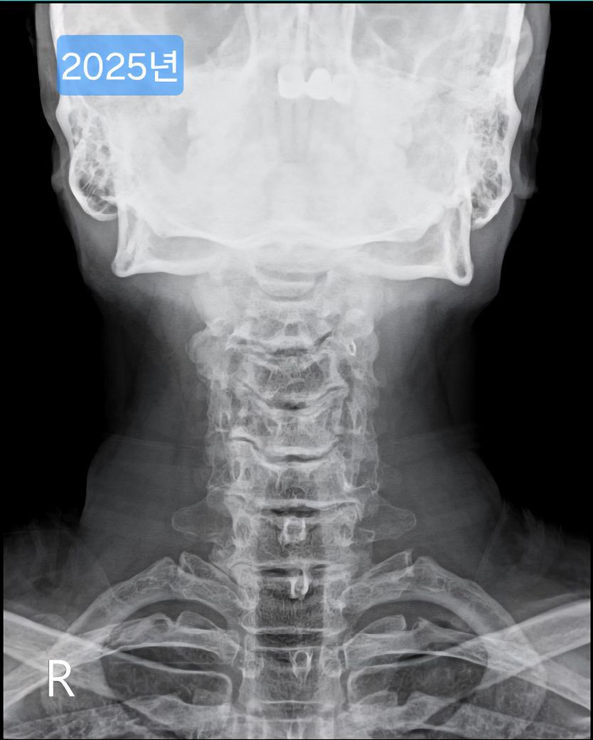
목이 일자목, 경추사이 공간 좁음 등 형태가 안 좋은데요.

여러 방도로 제 목 엑스레이 사진을 보여드리면

현재 목의 형태가 안 좋은건 충분히 알겠는데.

딱히 목쪽에 통증이나 팔저림 등 증상은 없습니다.

여기서 고민되는게.

1.

딱히 증상은 없는데, 일상속에서 하는 자세교정이나 스트레칭과 별도로 병원에가서 치료를 받아야 하는지 궁금합니다.

2.

치료가 필요하다면, 어떤치료를 받아야 할까요?

(도수치료, 물리치료, 주사치료 등 있는것으로 알고있지만,

기존에 통증이 없는 상태에서 치료전후 차이를 무엇으로 가늠해야하는지도 궁금합니다)

  • 1번 째 사진
  • 2번 째 사진
  • 3번 째 사진
  • 4번 째 사진

6개의 답변이 있어요!

  • 김덕현 물리치료사

    김덕현 물리치료사

    논현역 재활병원

    안녕하세요. 김덕현 물리치료사입니다.

    일자목을 가지고있다면 자세적인문제가있을수있는데요 평소 스트레칭과 운동을통해서 관리하는것이 중요합니다

    지금은 통증이없다고하더라도 후에 지속적인 스트레스가가해지고있는 목에 불편감이생길수있으니 지금부터 천천히 관리를 시작하는게 좋은데요 유튜브를참고해 약한강도의 코어운동부터 시작해보시길 바랍니다 감사합니ㅏㄷ~!

  • 안녕하세요. 이동진 물리치료사입니다.

    일자목으로 걱정이 있으시군요.

    현재는 일자목으로 불편이 없으시겠지만 지속적으로 목에 부하를 주게 된다면 통증이나 경추 질환 문제를 유발할 수 있을 것입니다.

    치료도 중요하지만 평소 장시간 컴퓨터에 앉아 있거나 장거리 운전, 목을 앞으로 숙이고 핸드폰을 보는 등 좋지 않은 자세나 습관은 고쳐 주시는 것이 좋으며 평소 올바른 자세에서 통증이 없는 범위에서 규칙적인 빠른 걷기 운동이나 턱을 뒤로 당겨 주는 스트레칭 등으로 목 주변 근육을 강화시켜 주시고 경추의 정렬을 유지시켜 주시는 것이 도움이 되실 것입니다.

    답변이 도움이 되었으면 좋겠습니다.

  • 안녕하세요. 송진영 물리치료사입니다.

    견갑골 모으기 턱 당기기외에도 가슴열기 스트레칭, 목 측굴 회전 스트레칭, 가슴 승모근 스트레칭이 도움이 됩니다. 유튜브에서 경추 안정화 운동, 일자목 스트레칭 등 검색 시 병원 물리치료사 채널 자료가 많습니다. 생활 자세 스트레칭은 근육 불균형 완화 통증 감소 기능 회복에는 효과적이지만 뼈 간격 이나 C커브 구조 자체는 제한적입니다. 다만 조기 꾸준한 교정 습관은 진행 어겢와 목 라인 완화에 큰 도움을 줍니다!

  • 안녕하세요. 김강록 물리치료사입니다.

    사실 지금과 같이 통증이 없는 상태라면 치료는 필수로 하지않으셔도 됩니다.

    헬스, 요가, 명상, 필라테스 등 바른 자세를 지도 받으시는것도 좋은 방법이며 치료를 하신다면 도수치료, 운동치료를 통해 치료 전 후 엑스레이를 촬영하셔서 구조적인 변화가 있는지 보시길 바랍니다.

    현재로썬 병원뿐만이 아닌 여러 방법이 있기에 신중히 선택하시길 바랍니다^^

  • 안녕하세요. 김현태 물리치료사입니다.

    1. 특별히 통증이나 불편감이 없고 일상생활에 문제가 없다면 치료가 반드시 필요한 것은 아닐 수 있습니다. 건강관리를 위한 운동이나 스트레칭은 근골격계 질환 예방을 위해 도움이 되므로, 꾸준하게 해보시는 것을 추천드립니다.

    2. 치료는 보통 근골격계 질환이 있는 경우 그에 대한 전후 차이를 비교하고, 간혹 일정기간 치료 후 비교를 위한 엑스레이 촬영과 같은 검사를 합니다.

  • 안녕하세요. 채홍석 가정의학과 전문의입니다.

    업로드해주신 증상의 설명과 자료는 잘 보았습니다.

    1.증상이 별도로 없다면 굳이 병원에서 치료를 받아야할 필요는 없을 것 같습니다. 대신 일상에서 하는 자세교정과 스트레칭을 꾸준히 하시고 정기적으로 병원에서 엑스레이를 확인을 하셔야 하겠습니다.

    2.치료는 말씀하신 것 중에서 가장 편하신 것을 받으시면 됩니다. 말씀하신 질환은 불량한 자세로 인하여 발생한 것이기 때문에 결국 치료는 자세의 교정으로 이루어집니다. 예로 드신 치료는 그 효과를 증대시키거나 증상을 완화시키기 위한 것일 뿐입니다.