아하
  • 토픽

  • 스파링

  • 잉크

  • 미션


의료상담

도움필요합니다

도움필요합니다

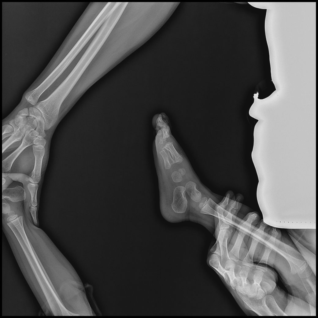
아기가 하루에 엑스레이 19장 촬영됐어요.

성별

남성

나이대

2

32개월 11kg 아기 엄마입니다.

아기 손발 엑스레이를 찍게되었는데요.

손목, 발목까지 6-8장 찍기로 안내받았으나,

고관절,복부일부,생식기등 민감부위등이 추가로 촬영되었고

발도 다리가 다 찍혔고 총 19장이 찍혔습니다.

방사선노출 걱정으로 일상생활이 불가능한 상황입니다.

전문가님들 도와주세요…

원본영상을 보니 몸통이 다찍혀서 피폭량 걱정으로 아무것도 못하고 있고

정말 손이 덜덜떨리고 눈물이 납니다.

기계와 기계세팅값 정보입니다.

엑스레이 기기 모델명: DK AccuRay D5

(KV 55, 100mA, 100ms)

- 몸통일부+손같이찍힘 : 6장

- 손부터 팔꿈치까지 : 3장

(KV 55, 100mA, 63ms)

- 발~다리사진 : 10장

아기 머리 CT 1장에 1-2mSv정도 노출된다고 들었습니다. 저희 아기는 19장에다가 몸통이 많이 노출되었고 세팅값이 성인기준으로 찍혀서 CT 1장보다 높을것 같아서 너무 무섭습니다.

저희 아기가 피폭된 방사선량이 어느정도수치일까요? 도와주세요..

  • 1번 째 사진
  • 2번 째 사진
  • 3번 째 사진
  • 4번 째 사진
  • 5번 째 사진
  • 6번 째 사진
  • 7번 째 사진
  • 8번 째 사진
  • 9번 째 사진
  • 10번 째 사진
  • 11번 째 사진
  • 12번 째 사진

6개의 답변이 있어요!

  • 최우영 물리치료사

    최우영 물리치료사

    허필우신경외과

    안녕하세요. 최우영 물리치료사입니다.

    결론부터 설명해드리자면, 말씀하신 것처럼 엑스레이로 사진을 19장 찍었어도 방사선 노출은 건강에 심각한 영향을 끼치지 않으니 너무 걱정하지 않으셔도 됩니다.

    CT에 비해 방사선은 1장당 0.01~0.1 mSv로 CT 1~2 mSv에 현저히 낮아서 너무 걱정을 안하셔도 됩니다.

    지금 19장을 찍었을 때 전체 방사선량은 0.3~0.7 정도로 추정되며, 의학적으로도 문제될 수준이 전혀 아니며, 암 위험 증가도 무시할 수준입니다.

    그리고 소아 방사선을 찍을 땐, 따로 소아 엑스레이를 찍는 옵션이 있어 성인보다 더 낮은 방사선이 나타납니다.

    대부분 방사선 피해는 누적이 되어서 문제가 나타나고 한번 엑스레이를 찍은 진단은 전혀 문제가 없습니다.

  • 안녕하세요. 채홍석 가정의학과 전문의입니다.

    업로드해주신 증상의 설명과 자료는 잘 보았습니다

    CT의 경우 피폭량은 대략 10mSv라고 보시면 됩니다

    반면 엑스레이는 부위마다 다르기는 하지만 대략 0.05mSv 정도라고 보시면 됩니다

    엑스레이 19장이 많아보이지만 피폭량으로 따진다면 CT 1회보다 적습니다

    따라서 피폭량으로 인하여 자녀분에게 문제가 생길 가능성은 높지 않으니

    너무 걱정하지 않으셔도 되겠습니다.

  • 안녕하세요. 김덕현 물리치료사입니다.

    엑스레이 촬영으로인해서 나오는 방사선은 극히 소량이기때문에 너무걱정하지않아도 괜찮습니다! 혹시라도 걱정이되신다면 병원에 방문해서 해당 검사를받아보신다면 도움이될수있습니다

    엑스레이 19장은 많아보이긴하지만 방사선량으로따졌을때 CT검사 1회정도의 방사선량이기때문에 너무 걱정하지 않아도 괜찮습니다 감사합니다~

  • 안녕하세요. 김의균 물리치료사입니다.

    엑스레이로 사진을 19장 찍으셨고 방사선 노출이 걱정이 되시어 질문을 주셨는데 너무 걱정하시지 않으셔도 될 것 같습니다. 엑스레이는 CT에 비해 상당히 낮은 피폭량을 가지고 있으며 19장 찍어도 CT한장 찍는 것보다 낮은 피폭량으로 알고 있습니다. 또한 소아가 방사선을 찍을 때는 성인보다 더 낮은 방사선으로 찍는 것으로 알고 있으니 너무 걱정하시지 않으셔도 될것 같습니다.

    감사합니다 수고하세요~

  • 안녕하세요. 송진영 물리치료사입니다.

    아기에게 엑스레이를 여러번 찍은 것에 대한 걱정은 이해됩니다. 엑스레이의 방사선량은 촬영된 부위와 기계설정에 따라 다르지만 일반적으로 엑스레이는 CT보다 훨씬 낮은 방사선량을 사용합니다

    아기의 경우 방사선 피폭은 신체에 미치는 영향은 매우 적지만 반복적인 촬영이나 민감한 부위에 대해 피폭량이 많을 수록 의료 전문가와 상담하는 것이 좋아요!

  • 안녕하세요. 김현태 물리치료사입니다.

    보통 영상검사를 위한 엑스레이는 극소량의 방사선량에 노출이 되는데요, 이는 일상생활에서 노출되는 자연방사선량보다 적은 수치이기 때문에 크게 걱정하지는 않으셔도 될 것으로 생각됩니다.