발목인대 상태 질문드립니다. (mri사진 첨부)
올해 6월 초 좌측 발목을 살짝 접질렸습니다.
당시에는 큰 통증이나 붓기, 멍 등이 없어 2주간은 걷기와 수영을 계속했습니다.
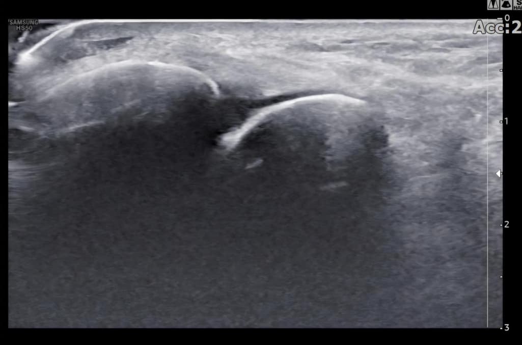
그런데 다친 지 2주 뒤부터 발목이 쑤시듯 아파 병원에서 초음파 검사를 했고, 전거비인대(ATFL) 2도 염좌 진단을 받았습니다. 이후 약 6주 동안 주 1회씩 충격파, 물리치료, 도수치료 등을 받았습니다. (고정치료는 시기가 늦었다며 진행하지 않았습니다.)
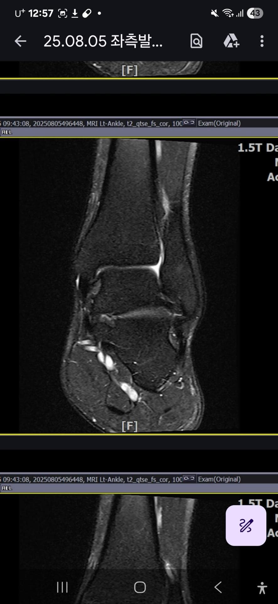
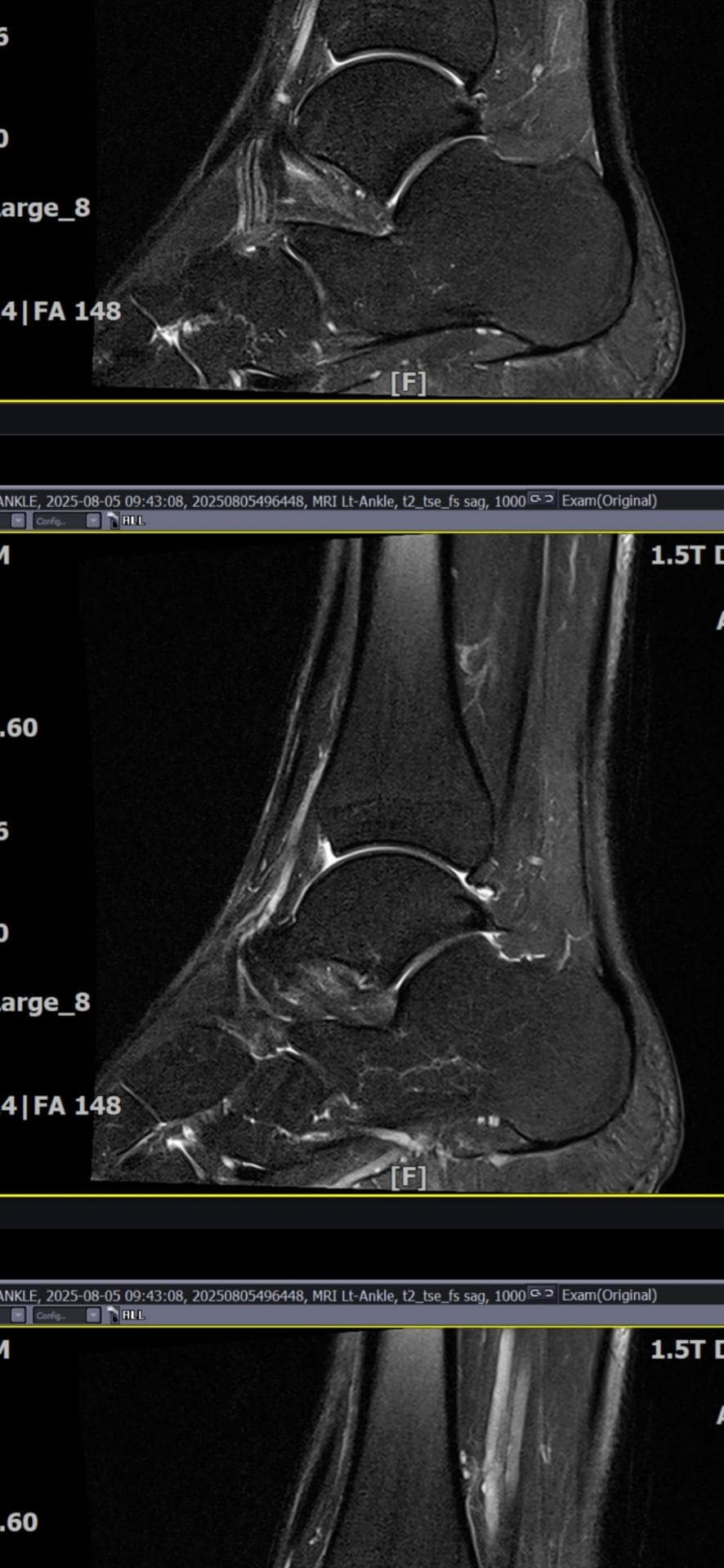
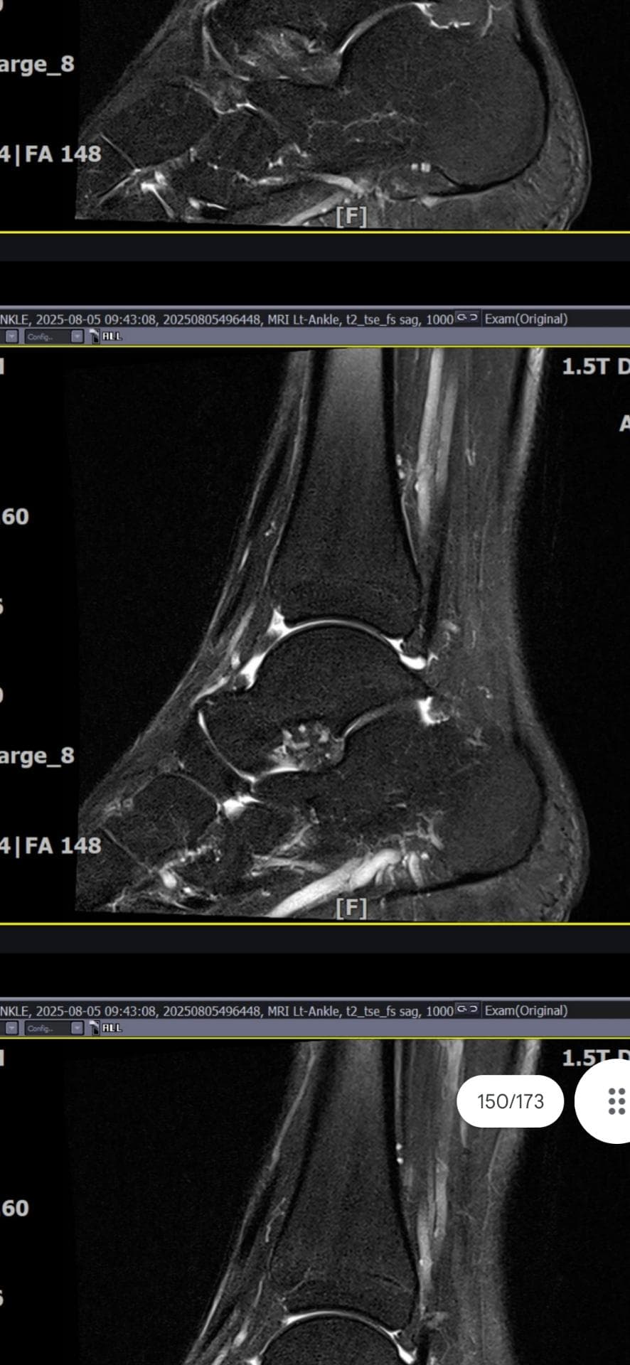
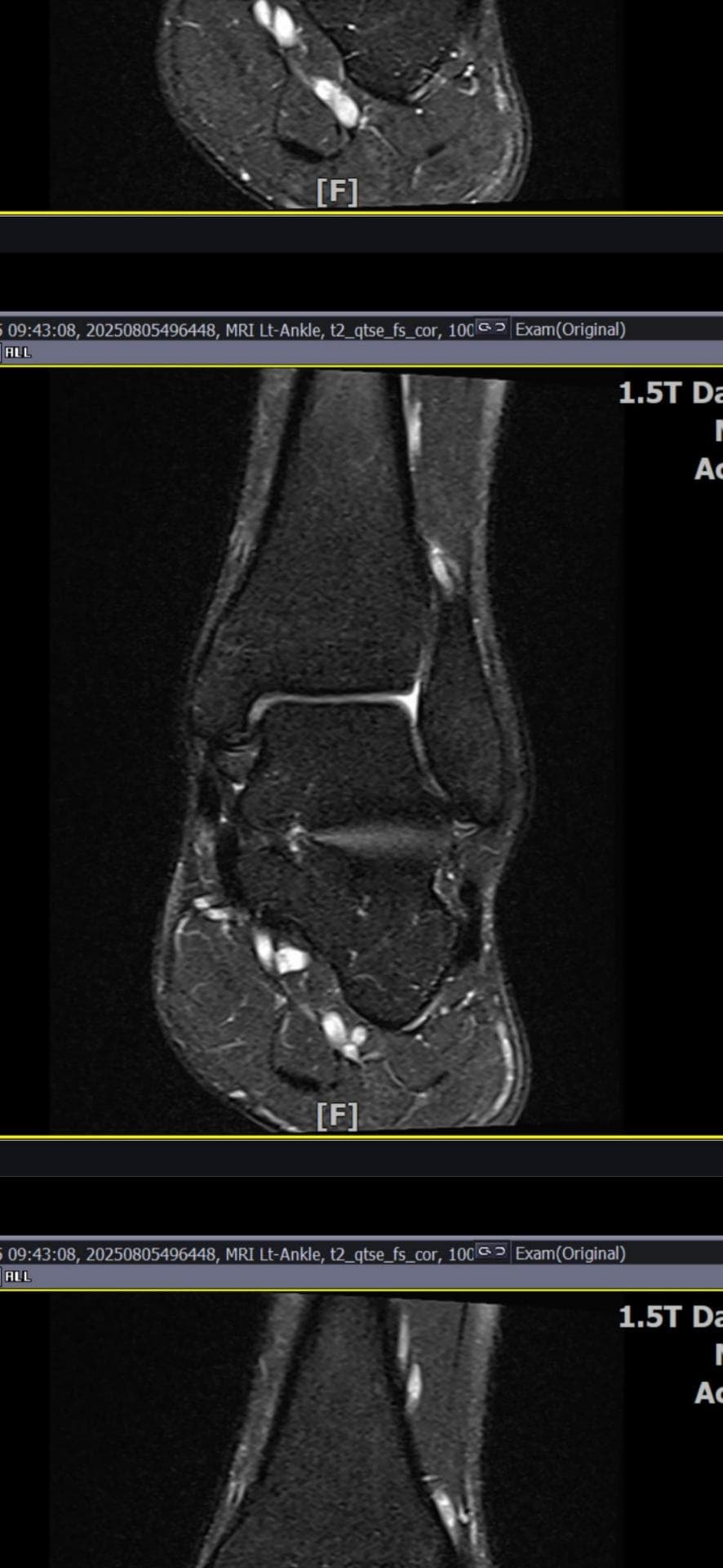
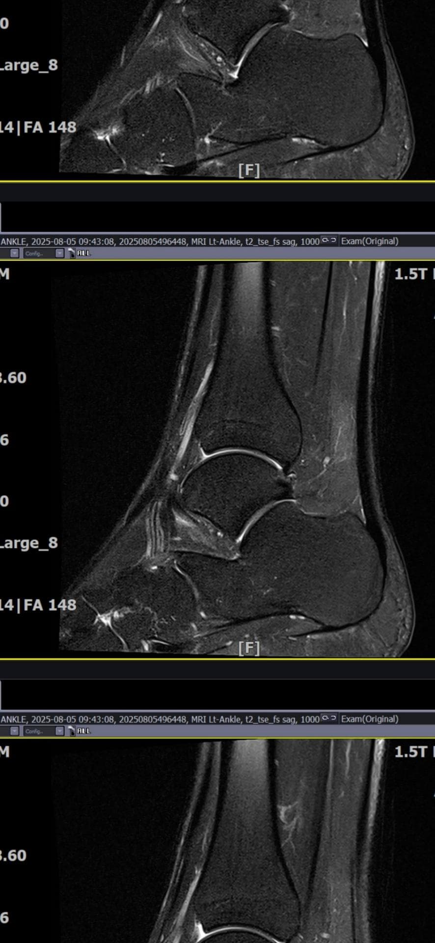
그래도 통증이 남아 8월 5일에 MRI를 촬영했는데, 병원에서는 “인대는 이어져 있고, 이 정도면 재활운동으로 호전될 것”이라는 설명을 들었습니다.
하지만 현재 9월, 다친 지 3개월이 다 되어가는데도 활동(걷기, 뛰기) 시 여전히 쑤시는 통증과 미열감 같은 불편감이 남아 있어 걱정됩니다.
MRI 상 전거비인대와 발목 상태가 정말 회복 단계인지, 아니면 만성으로 넘어가는 건 아닌지 전문가분들의
의견을 듣고 싶습니다.
그리고, 처음 초음파 사진(6월 촬영)과 비교하여
mri 사진(8월 촬영)상 인대가 호전됬는지도
알고 싶습니다.
안녕하세요. 송진영 물리치료사입니다.
올려주신 mri를 보면 전거비인대는 연속성이 유지되고 있고 파열이나 큰 손상 흔적은 없어 재활로 회복 가능한 상태로 보입니다 다만 3개월 가까이 활동 시 통증과 미열감이 남아 있는 것은 조직 회복이 아직 완전히 끝나지 않았거나 주변 연부조직 관절 움직임 제한 등으로 인한 과민 반응일 수 있습니다.
초음파와 비교하면 mri 상으로 인대 연속성이 확인되므로 심각한 악화나 재파열은 아닌 것으로 판단됩니다
1명 평가안녕하세요. 김강록 물리치료사입니다.
우선 현재로썬 더 파열이 됐다고 보기는 어렵고 회복 과정 중 하나로 보여집니다.
보통 3개월 정도의 통증이 지속된다면 만성통증으로 분류가됩니다.
너무 걱정마시고 아직은 기능적인 부분에서 통증이 있기에 꾸준한 치료와 재활을 해주시길 바랍니다.
전문의와 꾸준한 상담을 통해 상태에 따라 주사치료를 병행 하시는것도 고려해보시길 바랍니다.
적절한 치료와 관리를 통해 건강히 회복 되셨으면 좋겠습니다^^
1명 평가안녕하세요. 김현태 물리치료사입니다.
전거비인대 손상 이후에 말씀하신 통증은 회복과정에서 나타날 수 있는 통증으로 생각되는데요,
MRI상에서는 인대의 회복이 이루어지고 있는 덧으로 보이지만 인대의 회복은 소요되는 시간이 오래 걸리고, 주변 근육의 약화나 기능 저하로 인해 통증이나 불편감이 지속될 수 있습니다.
무리한 운동 보다는 발목 근력 및 균형운동을 통해 기능을 회복하시고, 활동으로 인해 붓기나 열감이 동반된다면 활동량을 어느정도 조절을 하시는 것이 좋겠습니다.
1명 평가

